医療機関の方へ 当院機器による撮影症例集

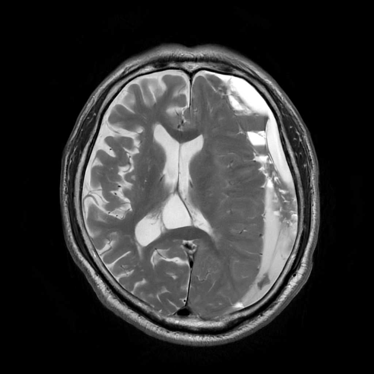
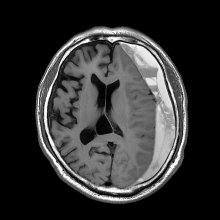
MRI検査

内科領域

頭部

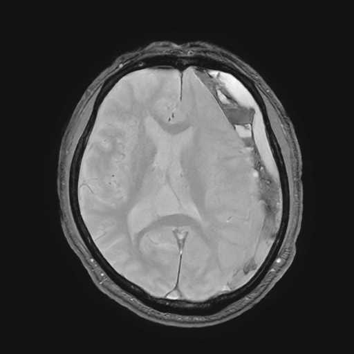
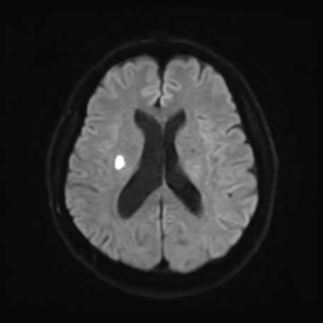
脳梗塞
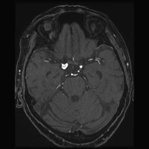
脳動脈瘤
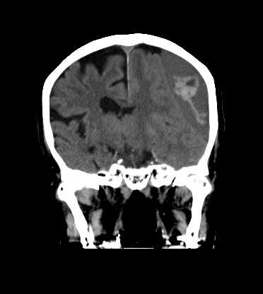
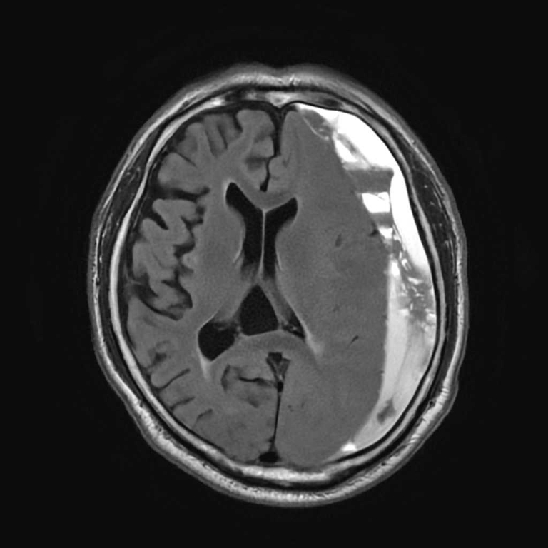
硬膜下血腫

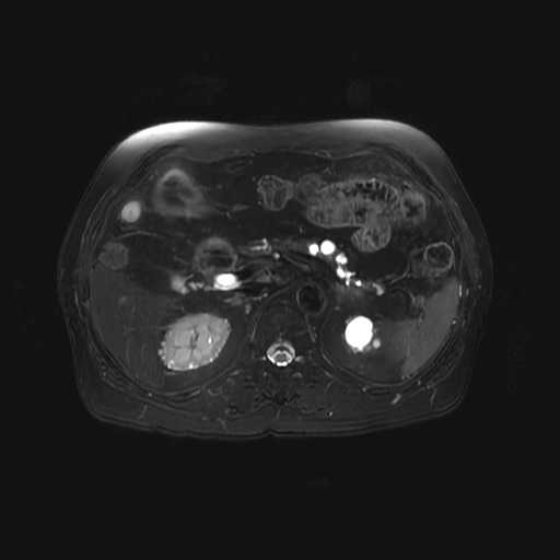
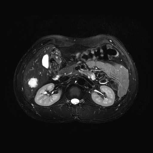
腹部

肝血管腫
膵管内乳頭粘液性腫瘍(IPMN)

整形外科領域

脊椎

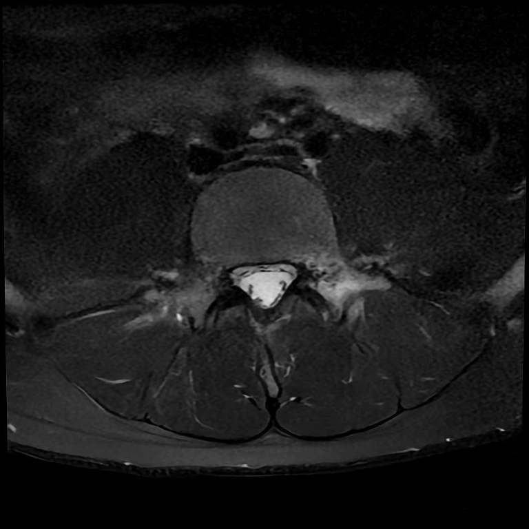
椎間板ヘルニア
圧迫骨折
分離症

膝関節

半月板損傷

腱板断裂

男性器領域

前立腺

前立腺肥大

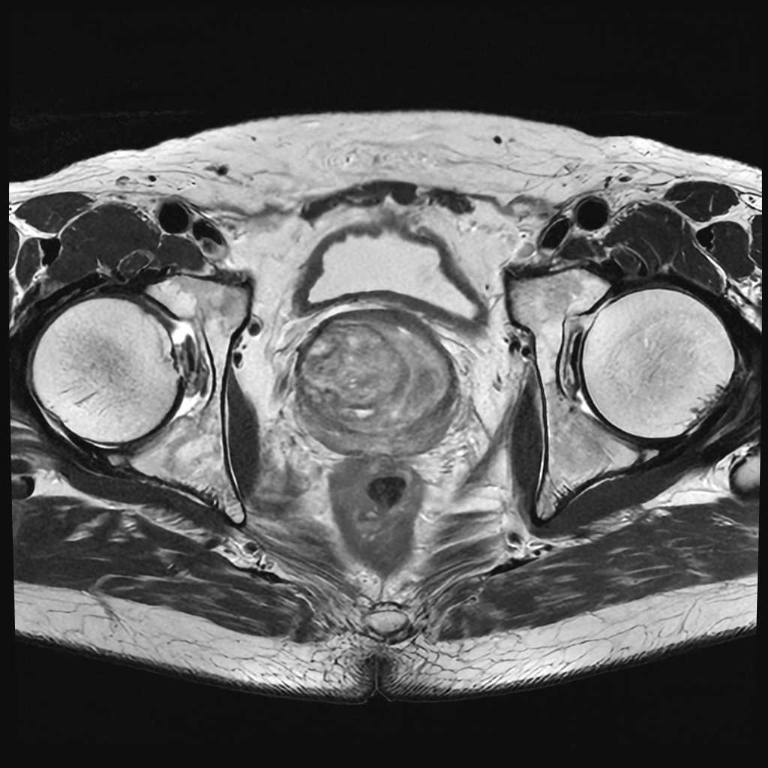
婦人科領域

子宮卵巣

子宮筋腫
卵巣嚢腫

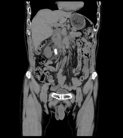
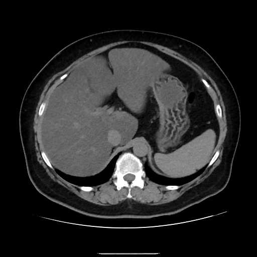
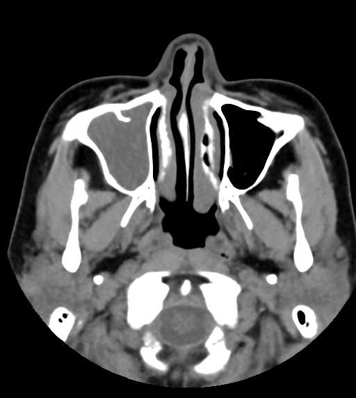
CT検査

内科領域

頭部

硬膜下血腫

胸部

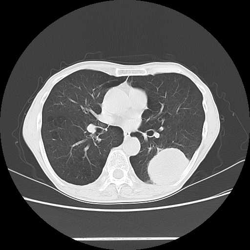
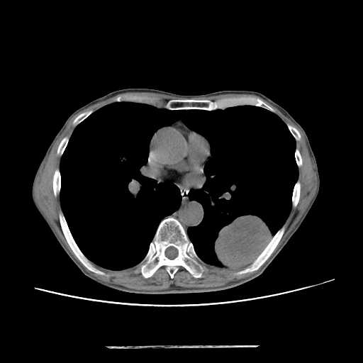
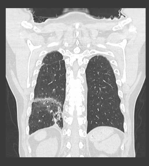
肺がん
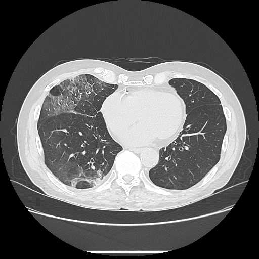
肺炎

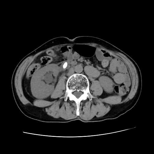
腹部

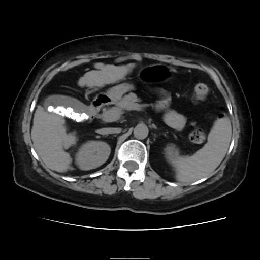
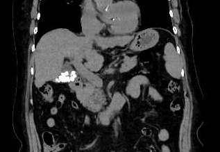
尿管結石
胆石
脂肪肝

整形外科領域

四肢

骨折(肩)

その他の領域

その他

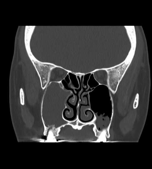
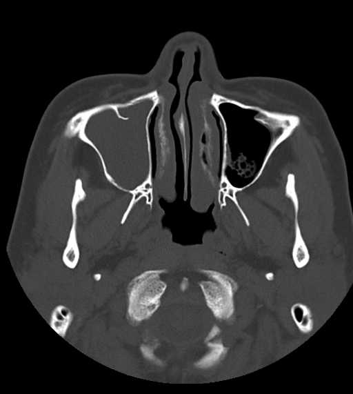
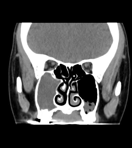
副鼻腔炎